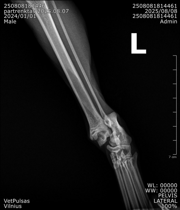
Į veterinarijos kliniką žmonės atvežė automobilio nutrenktą katinuką. Atlikus rentgeną paaiškėjo, kad abi užpakalinės kojos per sąnarius suknežintos į skeveldras. Vienos kojos raiščiai nutraukti. Apžiūrėjusi nuotraukas ir įvertinusi skeveldrinius lūžius chirurgė informavo kad operacija bus itin sudėtinga ir brangi. Vienu metu ji galėtų atlikti tik vienos kojytės operaciją, o po savaitės ar daugiau žiūrint kokia gyvūno būklė galės operuoti antrą. Visa tą laiką katinukas bus klinikos stacionare.
Chirurgė perspėjo kad operacija, gydymas ir pooperacine slauga klinikoje kainuos tikrai pakankamai daug nes užtruks mėnesį ar net daugiau laiko.
Be abejo mes galime nesutikti gelbėti gyvūno ir pasirinkti eutanaziją. Ir jeigu neturėsime finansinio palaikymo toks pasirinkimas bus vienintelė išeitis.
Bet....ar tikrai turime nuleisti rankas?
Kliniką informavome kad kreipsimes pagalbos į tuos kurie niekada nenusisuka, į neabejingus gyvūnų kančioms žmones, į jus mielieji.
Nenorime tikėti kad vienintelė išeitis nesurinkus lėšų gyvūno eutanazija.
Katinukas kurį pavadinome Fizo yra JAUNAS, padarytų infekcinių ligų testai NEIGIAMI.
Jis dar gali ilgai džiaugtis gyvenimu po atliktos operacijos ir rasti rupestingus namus.
Fizo naminukas. Jis labai švelnus ir meilus kačiukas. Jis tikrai turėjo šeimininkus. Arba tikriau šeimininkus kabutėse, nes po traumos niekas jo nepasigedo.
Taip, lėšos Fizo gydymo bus milžiniškos, bet...jis nekaltas kad gydymas toks brangus ir kad nuo to priklauso gyvybė.
Mes žinome kad kartu galime padėti daugybei niekam nereikalingų gyvūnų, žinome kad yra ŽMONIŲ KURIE NENUSISUKA NES TURI ŠIRDĮ.
Ar padesite Fizo?
Jeigu taip, jo operacija bus dar šią savaitę. Mes labai tikime kad nenusisuksite. Fizo labai tiki ir laukia. Jis turi tik mus ir jus.
Pervesti lėšas Fizo operacijoms galite į prieglaudos sąskaitą paskirtyje nurodę: "Fizo"
Padėti Fizo gyventi galima ir per Pay Pal
Arba per Contribee platformą
Ačiū už jūsų gerumą.










